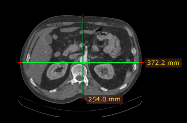
Select Length from the Measurements drop down menu (or press the L key).

Place the cursor over the starting point, then press left mouse button and drag the mouse to draw a segment with length measurement. Release the button to finish drawing.

The distance value will be shown in either millimeters or pixels (when the calibration data is not included in the image file).
You can move the entire segment or one of its endings by dragging while pressing the left mouse button.
The label may be also dragged to a more convenient place if necessary.
Press Shift while drawing the segment to make it either vertical or horizontal.

By default, the length measurement tool is associated with the forward (5th) mouse button.
Press Esc while drawing the segment to delete it.
Depending on the source of the calibration data, the label with a measurement will be displayed in different colors:
Measured distance is calibrated (the pixel spacing element is present).

The distance is calculated using the estimated radiographic magnification factor.
The distance is measured at the detector plane.

Ultrasound region calibration is used.

Manual calibration was performed by a user.

There is no calibration data available (measurement in pixels of the source DICOM image).
The image can be manually calibrated (if no calibration data was present in the DICOM file) or recalibrated.
1) Measure the object with a known size, and then right-click the segment or its label to show a pop-up menu.

2) Click Calibration to open the dialog window. Enter the distance and select the units (millimeters, inches or French sizes), click OK to recalibrate the image.

3) Now the measurements will be taken with the manual calibration data and shown in millimeters.

To revert the manual calibration show the "Calibration" window and click the Reset calibration button.

DICOM images coming from the ultrasound devices often include calibrated regions. Depending on the region type, different parameters can be measured.
Below is the sample screenshot showing the measurement of distance, velocity and time.
